
Хотите, чтобы коррекционная терапия вашего прикуса была незаметной для всех? Тогда установка лингвальных брекетов – это наилучший вариант! Можете быть уверены: о том, что вы проходите курс лечения, будете знать только вы и ваш лечащий врач. Дело в том, что такую ортодонтическую систему устанавливают на внутреннюю (лингвальную) сторону зубов, и потому она незаметна для окружающих. Сеть стоматологий «Улыбнись» предлагает услуги ортодонтического лечения с невидимыми брекетами по доступной цене. Мы используем брекет-конструкции брендов Incognito из золотосодержащего сплава и Win из хром-кобальтового. Эти модели завоевали огромную популярность у врачей-ортодонтов и их пациентов.
Главное отличие лингвальных брекет-систем
Брекеты – одна из наиболее результативных ортодонтических конструкций. Коррекционная система состоит из брекет-пластинок, фиксируемых на поверхность зубов, и силовой дуги, крепящейся к пластинкам. Брекет-системы могут быть установлены либо к наружной стороне зубного ряда, либо к внутренней.
Брекеты, фиксируемые к внутренней (со стороны языка) стороне зубов, называются лингвальными. Lingua (лингва) в переводе с латинского означает «язык». Такая конструкция не видна стороннему взгляду, поэтому ее еще называют «невидимыми брекетами».
Механизм действия такой ортодонтической системы, как и у стандартных вестибулярных (наружных) брекетов, основан на приложении постоянного силового воздействия для направленного перемещения зубов. Это воздействие генерируется скобой, изготовленной из металлического сплава, обладающего памятью формы. Это значит, что согнутая дуга стремится принять исходное положение. В процессе выпрямления она тянет за собой зубы, заставляя их постепенно передвигаться на новое местоположение.
Показания для использования брекетов-«невидимок»
Невидимые брекеты врачи-ортодонты рекомендуют пациентам, которые не хотят, чтобы процесс коррекционного лечения был заметен окружающим. Показания к ортодонтической терапии:
- патология прикуса;
- неправильное положение отдельных зубов: вне зубного ряда, наклон, поворот;
- большие межзубные промежутки: диастемы или/и тремы
Этапы ортодонтической терапии с лингвальными брекетами
Важно: продолжительность коррекционного и ретенционного этапов устанавливается врачом в зависимости от сложности клинического случая.
Преимущества лингвальных систем
- Невидимость конструкции стороннему взгляду
- Сохранение эстетики черт лица
- Возможность визуализации результатов терапии с помощью специального программного обеспечения
- Снижение риска кариеса в зоне установленных брекет-пластинок вследствие большей толщины эмалевого слоя лингвальной стороны зубов (в сравнении с вестибулярной)
- Отсутствие риска травмирования слизистой щек и губ
- Возможность коррекции глубокого прикуса
Наиболее популярные модели невидимых брекетов
В нашей сети стоматологических центров мы применяем для корректирующего лечения только те брекет-системы, которые прошли клинические испытания и отлично зарекомендовали себя на практике. В частности, мы используем такие виды невидимых брекетов:
- Incognito – ортодонтические конструкции производства корпорации DW Lingual Systems (Германия). Это лигатурная модель из золотосодержащего сплава. Может применяться у пациентов, имеющих аллергию на металл. Конструкция имеет плоский профиль, отличные эксплуатационные свойства. Изготовление осуществляется индивидуально по меркам конкретного пациента;
- Win – усовершенствованный вариант модели Incognito, с более плоским профилем брекет-площадок. Эту конструкцию изготавливают из хром-кобальтового сплава, поэтому она немного дешевле своего золотого аналога.
Почему пациенты выбирают сеть клиник «Улыбнись»
- Мы ориентированы на достижение поставленных целей
Ортодонтическая терапия осуществляется с использованием инновационных технологий и ортодонтических конструкций, применяемыми в передовых клиниках мира
- Мы гордимся статусом передового стоматологического центра
Мы практикуем комплексный подход в решении ортодонтических проблем, внедряем передовые разработки наших зарубежных коллег, учитываем пожелания и замечания наших пациентов
- Мы оказываем ортодонтические услуги уровня международных стандартов
Качество нашей работы подтверждено многочисленными позитивными отзывами
- Мы возвращаем пациентам уверенность в себе
Устраняя дефекты зубочелюстной системы, мы удаляем причины ваших комплексов
- У нас стабильные цены
Расчет стоимости ортодонтического терапии на лингвальных брекет-системах мы выполняем в соответствии с фиксированными ценами прайса. Оплату лечения можно осуществлять в рассрочку в течение 20 месяцев
Стоимость коррекционного курса терапии лингвальными брекетами выше, чем лечение вестибулярными, но это полностью окупается их незаметностью. Записаться на консультацию можно по телефону +7 (499) 174-92-92. Ждем вас в филиалах нашей клиники в Москве, расположенных недалеко от станций метро «Шелепиха» и «Алексеевская». Ваша красивая улыбка – это наша работа!
Видео: Сеть стоматологий «Улыбнись»
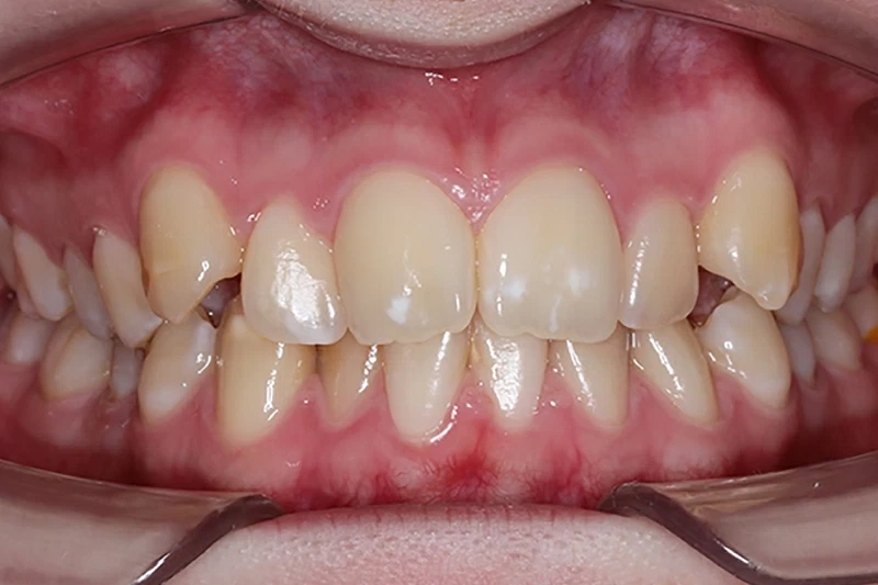
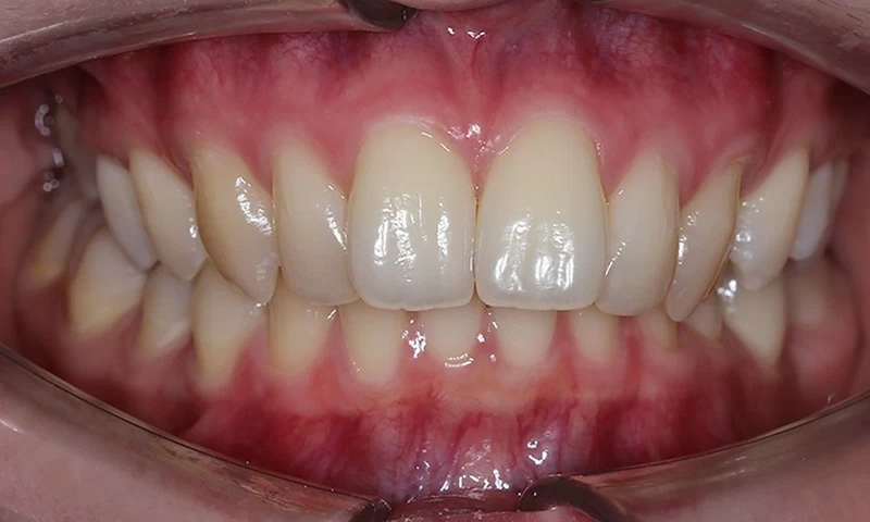
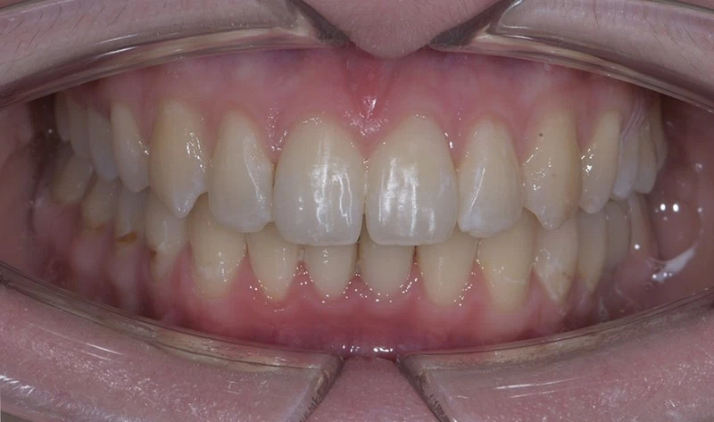
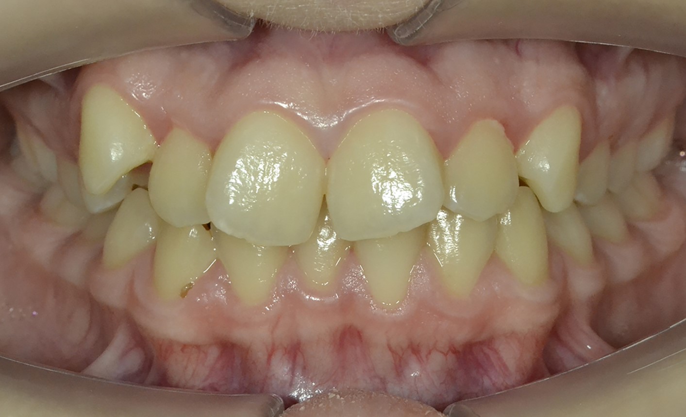
Фото до и после лечения








Стоматология работает без выходных! Есть оплата в рассрочку!


Стаж работы
Наши работы



Ответы на часто задаваемые вопросы
Фотогалерея








Наши Врачи
Заказать обратный звонок
Оформите заявку на сайте, мы свяжемся с вами в ближайшее
время и ответим на все интересующие вопросы.
|
Запись онлайн
|
Интерьеры клиники на Шелепихе








Интерьеры клиники на Алексеевской








Читайте также
Отзывы пациентов
Спасибо доктору Дудаевой за грамотную и эффективную работу. Она лечила (исправляла прикус) моей дочери. Недавно брекеты сняли, дочка и, конечно, мы с женой очень довольны результатом.
Хочу огромное сказать спасибо Татьяне Александровне за прекрасную работу, терпение, и очень интересное общение! Мне сняли брекеты, улыбка моей мечты теперь моя!!!!
Возможен как наличный, так и безналичный расчет
Банузова Т.А. и Ременская С.О работают по индивидуальному прайс-листу(стоимость лечения от 350 т.р).
Стоимость сложных случаев с подготовкой к ортогнатической хирургии: стоимость лечения+10%