Показания к ортодонтическому лечению
Зачастую патологии зубочелюстной системы у детей заметны даже невооруженным глазом, их могут обнаружить родители еще до посещения ортодонта. К ним относится:
- выпирание одной из челюстей;
- зубы, выросшие вне дентального ряда;
- скученное расположение зубов;
- аномально большие межзубные промежутки;
- логопедические дефекты;
- трудность пережевывания;
- чрезмерная истираемость зубной эмали;
- патологии прикуса.
Патологии прикуса – это неправильное соотношение зубов при смыкании зубных рядов (вне зависимости от причины). Классифицируют несколько видов нарушения окклюзии:
- глубокий прикус (верхний зубной ряд перекрывает нижний);
- открытый (зубы во фронтальной зоне не соприкасаются);
- перекрестный (зубные ряды соприкасаются, перекрещиваясь);
- дистальный (верхняя челюсть выдвинута вперед);
- мезиальный (выдвинута нижняя челюсть).
Противопоказания
Не все патологии зубов и челюстей можно и нужно исправлять. Так, незначительные нарушения, не влияющие на пережевывание пищи и дикцию, а также не ухудшающие эстетику лица, лечить не обязательно. Ортодонты сети наших клиник выявляют наличие аномалий и оценивают необходимость лечения после проведения тщательной аппаратной диагностики. Некоторые нарушения, которые поддаются только коррекционной терапии на брекетах, не назначают детям до того, как у них прорежутся постоянные зубы.
На заметку: не следует самостоятельно оценивать, нужна ли вашему ребенку коррекционная терапии. Верное заключение может дать только ортодонт.
Методики, применяемые в детской ортодонтии
Выбор технологии и схемы лечения зависит от тяжести клинического случая и от возраста ребенка. Разработаны и успешно применяются несколько методов коррекции патологий. Это упражнения миогимнастики, ортодонтические пластинки, трейнеры, ретейнеры, элайнеры, брекет-системы.
Миогимнастика – это комплекс упражнений лечебной физкультуры, ориентированный на укрепление жевательных и мимических мышц. В результате улучшается мышечная моторика и корректируются функциональные и эстетические параметры челюстной системы. Гимнастика эффективна как основной метод коррекции в младшем детском возрасте и в качестве вспомогательного при лечении с применением ортодонтических аппаратов. Результат достижим при условии систематичности и последовательности. Поэтому основная нагрузка ложится на плечи родителей, которые должны регулярно заниматься с детьми.
Ортодонтические пластинки – съемные аппараты для коррекции окклюзии. Конструкция состоит из пластикового базиса, металлических дуг, пружинок и крючков. В результате лечения начинают правильно смыкаться губы, корректируется работа жевательных мышц, тем самым формируя правильный прикус. Ношение пластинок показано в возрасте от 6 до 11 лет, когда идет активный рост челюстных костей. Часто такое лечение является предварительным этапом перед коррекционной терапией на брекетах.
Трейнеры – съемные миофункциональные корректоры для исправления неправильного прикуса в возрасте от 3 до 11 лет. Они устраняют причины нарушения окклюзии, воздействуя на мышецы лица. Эффективны на начальных этапах коррекции. Визуально напоминают спортивные каппы. Врачи нашей детской ортодонтии в Москве применяют в своей практике положительно зарекомендовавшие себя финские трейнеры LM-активаторы и австралийские Миобрайс.
Ретейнеры – съемные или несъемные устройства, применяемые для закрепления результата лечения на брекетах. Несъемные представляют из себя металлическую проволоку, фиксируемую на внутреннюю сторону зубов. Съемные – это ортодонтические каппы. Выбор оптимального варианта ретейнеров делает доктор, исходя из условий клинического случая.
Брекет-система – несъемный ортодонтический аппарат для коррекции окклюзии любой сложности. Используют при сформированном постоянном прикусе, т. е. у подростков от 12 лет и более взрослых пациентов. В нашей клинике мы применяем для терапии только самые эффективные модели:
- металлические брекеты Biomim и Victory;
- самолигирующиеся металлические DamonQ и H4;
- керамические Advanced;
- самолигирующиеся керамические Damon Clear;
- лингвальные WIN и INCOGNITO.
Элайнеры – съемные ортодонтические каппы, во многих клинических случаях являются достойной альтернативой брекетам. Носят их круглосуточно, снимая лишь для того, чтобы поесть или почистить зубы. Специалисты нашей детской ортодонтической стоматологии рекомендуют для коррекционной терапии каппы FlexiLigner и KidsLight.
Хирургическое лечение – радикальный метод исправления аномалий зубочелюстной системы, применяемый в самых сложных случаях, когда все другие варианты лечения не эффективны. Хирургическое вмешательство такого типа относится к категории сложных, поэтому проводится только в специализированных стационарах.
Важно: ортодонтическое лечение проводится только после тщательной визуальной и аппаратной диагностики. Все наши филиалы оснащены современной высокоточной диагностической аппаратурой. Вы можете быть уверены, что диагноз вашему ребенку будет поставлен максимально точно.
Этапы ортодонтического лечения детей
Сеть многопрофильных центров «Улыбнись» в Москве предлагает услуги детской ортодонтической стоматологии по доступным ценам. Мы предоставляем рассрочку оплаты на весь срок лечения. Наши специалисты имеют фундаментальное профильное образование и регулярно повышают свой квалификационный уровень в ведущих клиниках России и зарубежья. Мы ждем вас и ваших детей на консультацию и прием в филиалах, расположенных в районе станций метро «Алексеевская» и «Шелепиха», ежедневно без перерывов и выходных. Мы сделаем улыбку вашего ребенка самой обаятельной!
Видео: Сеть стоматологий «Улыбнись»
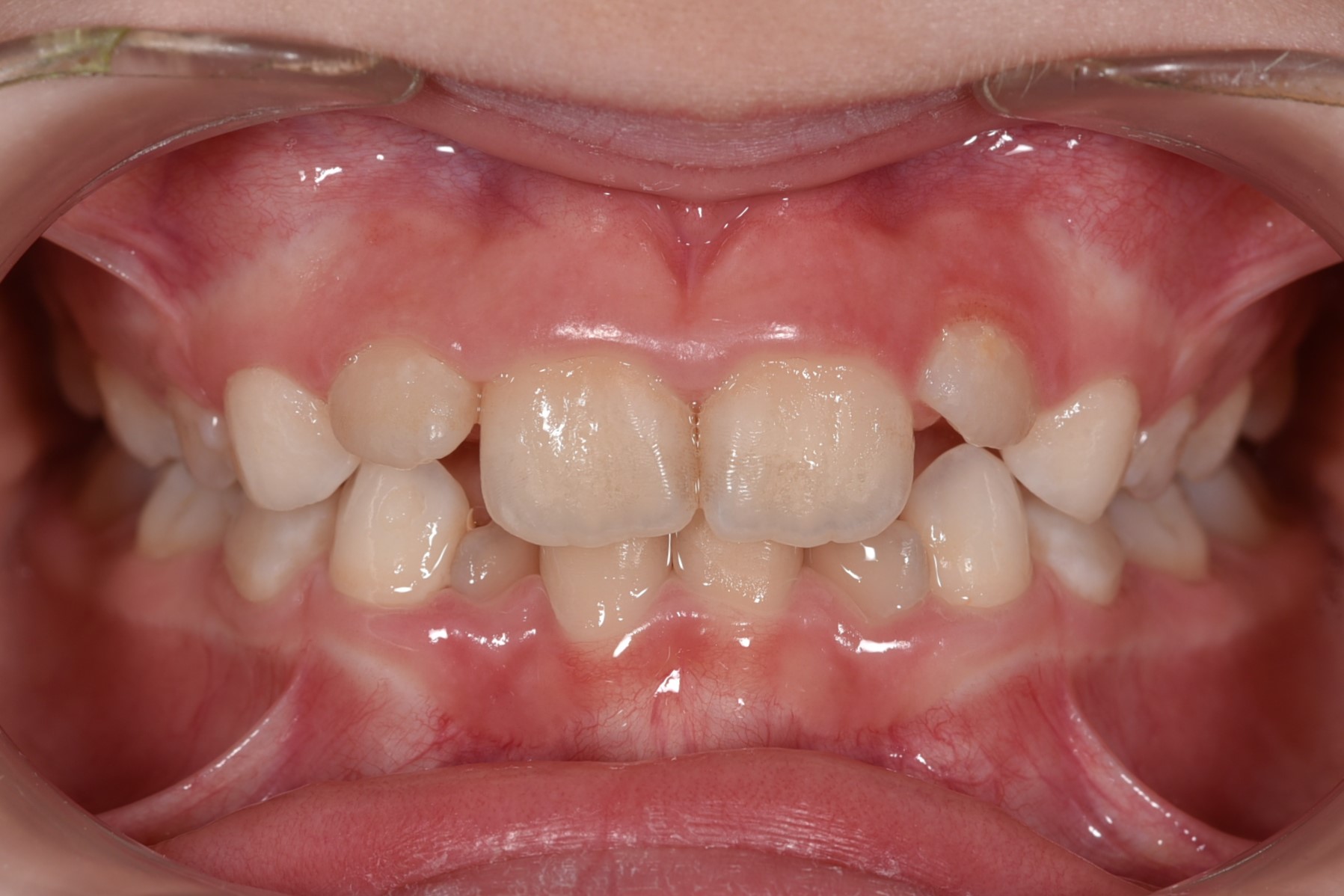
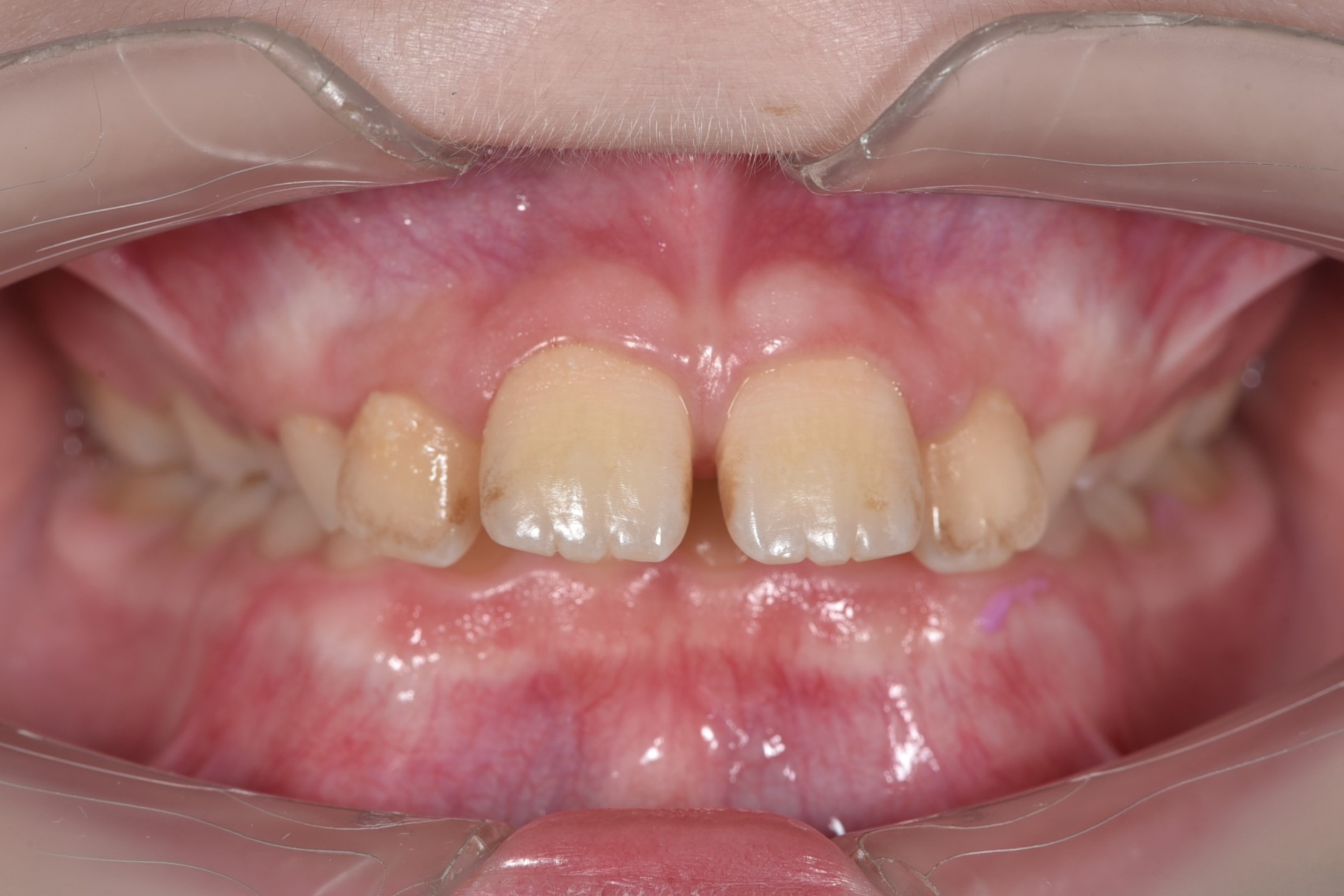
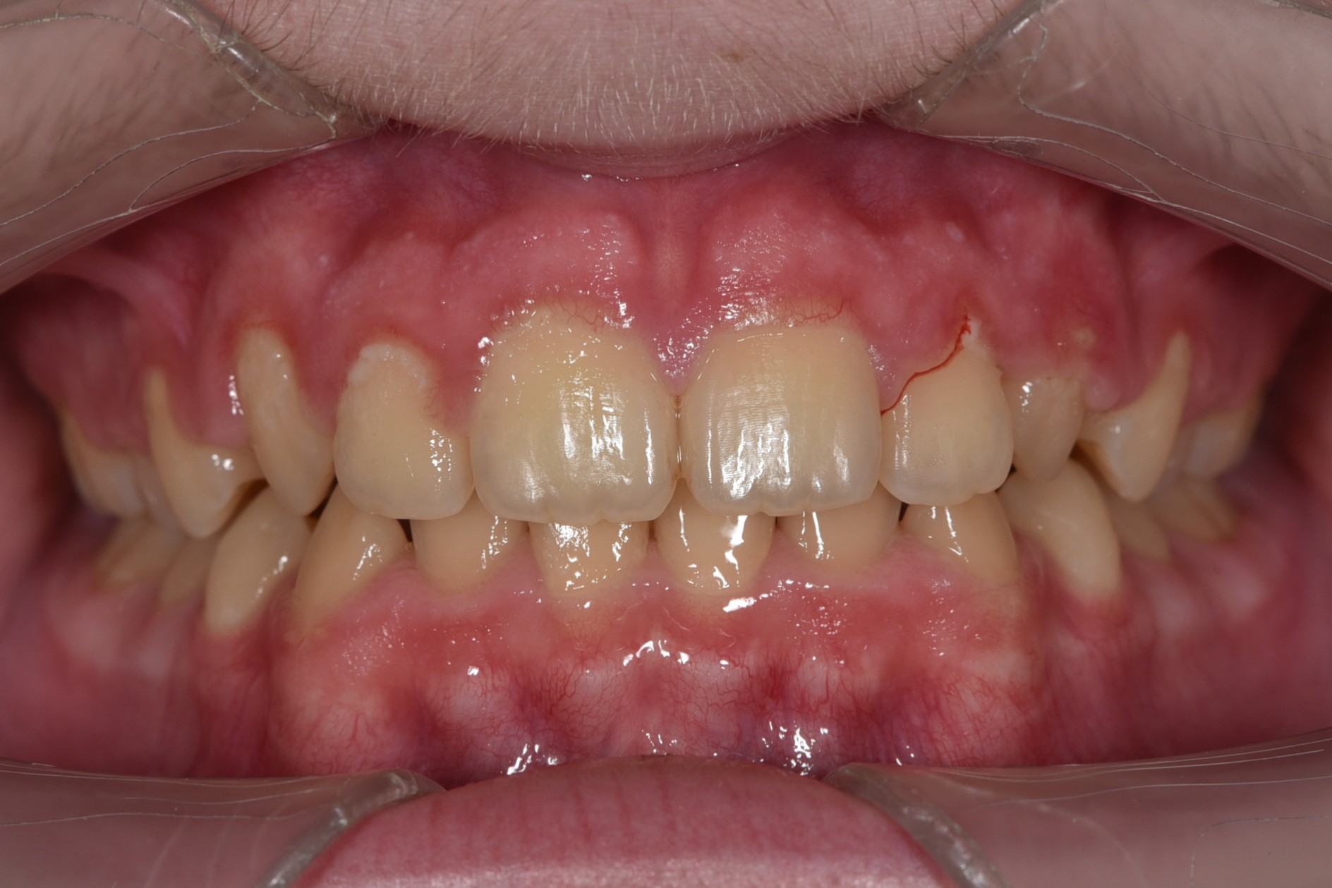
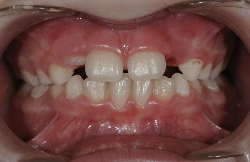
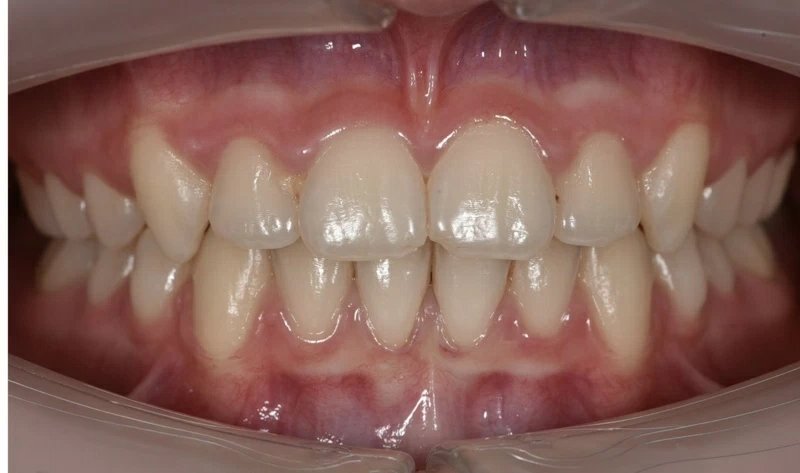
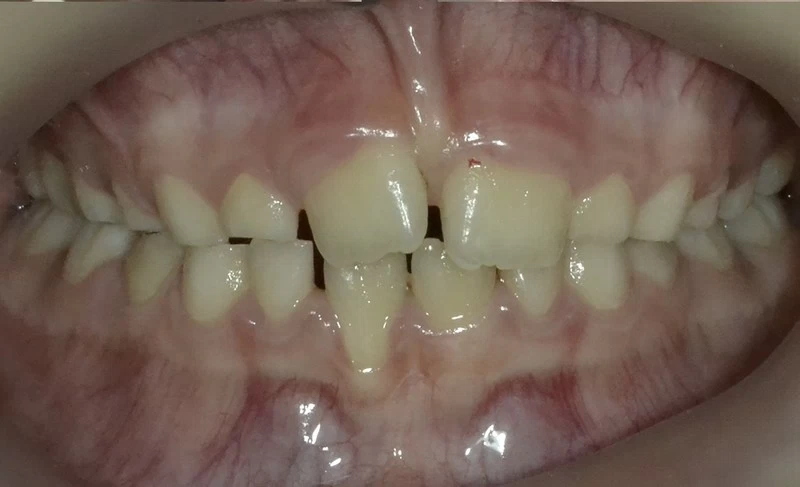
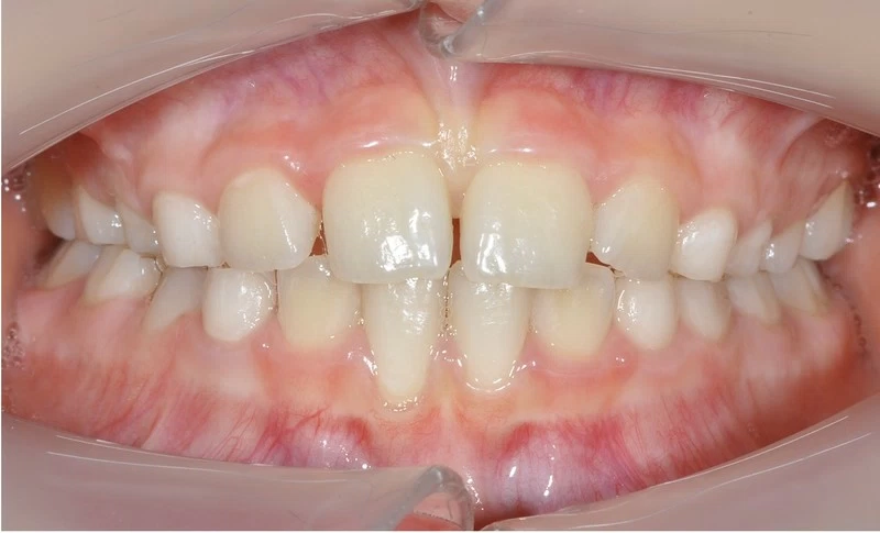
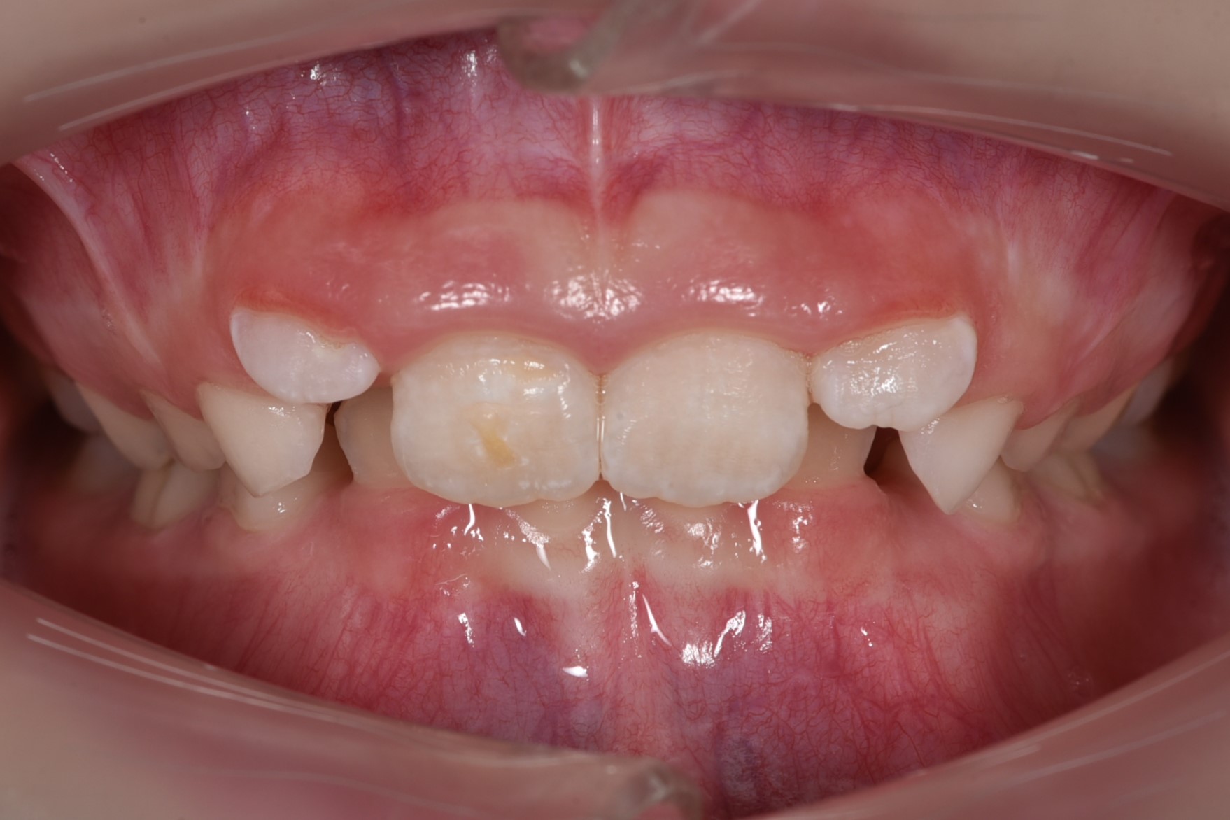
Фото до и после лечения















Стаж работы
Наши работы



Отзывы пациентов
Ответы на часто задаваемые вопросы
Другие услуги клиники
ПоказатьФотогалерея








Наши Врачи
Заказать обратный звонок
Оформите заявку на сайте, мы свяжемся с вами в ближайшее
время и ответим на все интересующие вопросы.
|
Запись онлайн
|
Интерьеры клиники на Шелепихе








Интерьеры клиники на Алексеевской








Читайте также
Я в восторге! Вчера сняли брекеты, моя улыбка – супер! Сейчас начался последний закрепительный этап, но это мелочи, ведь главная цель достигнута! Татьяна Александровна, спасибо!
Хочу огромное сказать спасибо Татьяне Александровне за прекрасную работу, терпение, и очень интересное общение! Мне сняли брекеты, улыбка моей мечты теперь моя!!!!
Возможен как наличный, так и безналичный расчет
Банузова Т.А. и Ременская С.О работают по индивидуальному прайс-листу(стоимость лечения от 350 т.р).
Стоимость сложных случаев с подготовкой к ортогнатической хирургии: стоимость лечения+10%